Ressources médicales
Articles

L'importance du diagnostic prénatal des malformations cardiaques

Les cardiopathies sont, avec une incidence de 0,8 %, parmi les malformations congénitales les plus fréquentes de l’être humain. Elles sont fréquemment associées à des anomalies chromosomiques ou à d‘autres malformations et contribuent de façon significative à la morbi-mortalité du nourrisson.


L’importance du dépistage anténatal des cardiopathies congénitales n’est plus à démontrer dans la mesure où il a entraîné une amélioration de la survie des patients porteurs de cardiopathies telles que la transposition des gros vaisseaux, le retour veineux pulmonaire anormal total ou l’hypoplasie du coeur gauche. En effet, l’anticipation et la planification des besoins du foetus autour de la naissance permettent d’améliorer la qualité et le timing de prise en charge du nouveau-né, réduisant dès lors les complications comme les lésions cérébrales préopératoires. (1)


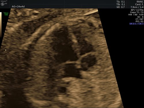
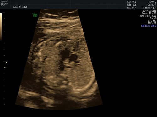
Dans la grande majorité des cas (90 %), l’étiologie des cardiopathies congénitales est multifactorielle, un facteur de risque classique comme des antécédents familiaux au 1er et 2e degré, la présence d’une anomalie chromosomique, d’un diabète maternel de type 1, d’une phénylcétonurie, la prise de certains médicaments ou une infection n’étant pas retrouvé. Pour cette raison, un dépistage systématique par échocardiographie foetale reste indispensable, idéalement entre 18 et 22 semaines de gestation. Le dépistage recommandé consiste en l’obtention d’une vue des 4 cavités cardiaques (fig. 1) et d’une vue des voies d’éjection (fig. 2). (2)


Néanmoins, ce dépistage simple est associé à un seuil de détection faible, raison pour laquelle de nombreuses équipes se basent sur des protocoles de dépistage plus complets et plus performants. (3)
En cas de suspicion de cardiopathie congénitale ou dans des indications particulières (cf. table 1), une échocardiographie foetale spécialisée en présence du cardiologue pédiatre sera réalisée le plus rapidement possible. L’examen précisera alors l’anatomie et la physiologie cardiaque afin de confirmer le diagnostic, d’affiner le pronostic et d’envisager une prise en charge optimale, personnalisée. Beaucoup de malformations modérées à sévères ont un potentiel évolutif en cours de grossesse et justifieront un suivi rapproché jusqu’à la naissance.


Dès le diagnostic, le bilan sera complété d’un bilan morphologique complet à la recherche de malformations associées (30 % des cas) ainsi que d’une proposition d’analyse génétique dans les cas qui la requièrent. La situation sera discutée en équipe pluridisciplinaire de foeto-pathologie en présence des obstétriciens, néonatologues, cardiopédiatres, généticiens, chirurgiens, psychologues et autres spécialistes potentiellement impliqués dans la prise en charge du bébé.


Les parents doivent être informés de façon objective de l’implication de la cardiopathie dans le développement et la qualité de vie de leur enfant. Dans les cas où la cardiopathie, de par sa sévérité ou de son association avec une anomalie chromosomique ou une autre malformation significative, restreint la qualité de vie de l’enfant de façon importante, l’interruption médicale de grossesse, et l’accompagnement postnatal compassionnel et palliatif seront thématisés et proposés comme issues post-natales avec le soutien de toute l’équipe pluridisciplinaire.


En accord avec les recommandations internationales, les foetus présentant une cardiopathie pouvant entraîner une défaillance cardio-circulatoire néonatale nécessitant un traitement chirurgical ou percutané urgent doivent être transférés in utero dans un centre cardio-chirurgical spécialisé dans la prise en charge de ces pathologies où l’accouchement sera programmé. Il est bon de rappeler qu’il n’y a pas d’indication cardio-pédiatrique à la naissance par césarienne des enfants avec cardiopathie congénitale même sévère, la naissance « physiologique », à terme étant toujours favorisée.


La programmation de la naissance de l’enfant dans un centre spécialisé permet de réduire l’anxiété des parents qui, en règle générale, ont déjà fait connaissance des équipes obstétricale, néonatologique et cardio-pédiatrique locales. Elle évite la séparation brutale de la mère d’avec son nouveau-né liée au transfert post-natal souvent urgent, source d’instabilité hémodynamique et de morbidité néonatale. (4)
Ainsi, dans notre institution environ la moitié des nouveaunés sont référés dans un centre cardio-chirurgical et retransférés après une chirurgie ou une intervention percutanée correctrice ou palliative, permettant d’assurer une surveillance cardio-pédiatrique de proximité.


En conclusion, les malformations cardiaques congénitales sont, toutes formes confondues, relativement fréquentes. Le diagnostic prénatal permet de dépister celles qui doivent être impérativement traitées après la naissance et obligent à une planification rigoureuse de la naissance de l’enfant.


Figures 1 




Figures 2


INDICATIONS D’ÉCHOCARDIOGRAPHIE SPÉCIALISÉE

  • Diabète de type 1 ou diabète gestationnel présent dès le 1er trimestre de la grossesse
  • Phénylcétonurie
  • Augmentation de la clarté nucale
  • Hydrops foetal
  • Grossesse gémellaire monochoriale
  • Doute lors du dépistage morphologique
  • Anomalie chromosomique ou autre malformation organique détectée
  • Anomalie du rythme cardiaque foetal
  • Exposition précoce à des médicaments tératogènes
  • Présence d’anticorps maternels anti-SSA ou anti-SSB
  • Séroconversion pour la rubéole au cours du 1er trimestre de grossesse
  • Procréation médicalement assistée
  • Antécédents familiaux au 1er ou 2e degré


 

Dr C. Jacquemart et Pr M-C Seghaye