Ressources médicales
Articles

Le médecin généraliste face à certaines problématiques dentaires chez l'enfant et chez l'adulte

Nous sommes confrontés de manière quotidienne à des patients de tout âge souffrant de douleurs dentaires aiguës ou chroniques. Afin de comprendre la source de la douleur, il est important de connaître la structure d’une dent saine et de ses tissus de soutien. La dent est composée de trois tissus durs : émail, dentine et cément. Le parodonte est formé par le cément, le desmondonte et l’os alvéolaire. L’attache épithéliale constitue une barrière vis-à-vis du milieu buccal.



Nous parlerons, dans cet article, du patient présentant une douleur aiguë dont les principales causes sont : un traumatisme dentaire, une infection carieuse active et étendue, et une lésion parodontale aiguë.
Jusqu’à l’âge de 6 ans, les enfants présentent exclusivement une denture de lait. De 6 ans à 12 ans, ils ont une denture mixte et à partir de 12 ans, ils passent à une denture définitive.


Le traumatisme dentaire


Les chutes sont la cause la plus fréquente de traumatismes dentaires chez les enfants d’âge préscolaire et scolaire. Les blessures et les altercations liées au sport sont plus courantes chez les adolescents. Un traumatisme dentaire peut également indiquer une maltraitance envers un enfant, en particulier lorsqu’il est associé à une ecchymose anormale (par exemple, l’ecchymose du vestibule labial ou le frein labial supérieur déchiré).
Un traumatisme aux dents peut provoquer des fractures ou endommager les structures de soutien (c.-à-d. le ligament parodontal et l’os alvéolaire). Les blessures aux structures porteuses sont appelées blessures de luxation. Il est essentiel de faire la distinction entre les blessures aux dents temporaires et permanentes en fonction de leur apparence et de l’âge de l’enfant.
 


L’évaluation des lésions dentaires, le traitement d’urgence des avulsions dentaires et les indications pour une référence dentaire urgente sont décrits ci-dessous.
Traumatismes dentaires chez les enfants : aperçu rapide
 



Infections carieuse et parondontale


Les infections d’origine dentaire, dues principalement à la lésion carieuse et à la maladie parodontale (gingivite et parodontite), sont courantes et ont des conséquences localisées (par exemple une perte de dents) et systémiques dans certains cas. Les infections suppuratives peuvent s’étendre dans la région orofaciale ou plus profondément jusqu’au cou induisant une cellulite. Les infections dentaires peuvent également entraîner une ostéomyélite de la mâchoire ou une dissémination hématogène, pouvant à son tour causer une endocardite ou des infections articulaires prothétiques.


Une radiographie intrabuccale est recommandée pour l’évaluation de la plupart des infections dentaires.
La pulpite, inflammation de la pulpe dentaire, se produit lorsque la progression de la carie dentaire expose la pulpe dentaire, entraînant son infection. Le symptôme précoce et dominant de la pulpite aiguë est un mal de dents sévère qui peut être provoqué par des changements thermiques, en particulier des boissons froides. Outre l’extraction de la dent, l’approche habituelle pour soulager la douleur causée par une pulpite irréversible consiste à ouvrir la dent, à retirer la pulpe enflammée (nerf) et à nettoyer le canal radiculaire.


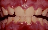
La gingivite, même aiguë, nécessite rarement un traitement antimicrobien systémique. La solution de rinçage oral à la chlorhexidine à 0,12 % peut être utilisée dans la plupart des cas. Les exceptions incluent les patients présentant une maladie à évolution rapide et une douleur intense ou une infection par le VIH pour lesquels un traitement systémique est indiqué. Les schémas thérapeutiques possibles incluent la pénicilline plus le métronidazole, l’amoxicilline-clavulanate, l’ampicilline-sulbactame ou la clindamycine.


La gingivite ulcéro-nécrotique, également appelée angine de Vincent, doit être traitée en première intention avec des bains de bouche à l’eau oxygénée 3 vol%, à l’isobétadine buccal et des antidouleurs.

Necrotizing Ulcerative Gingivitis


Certains types de parodontites graves peuvent être traités par des antimicrobiens systémiques en conjonction avec un nettoyage mécanique (détartrage et surfaçage radiculaire).

 

Ameera PAUROBALLY