Ressources médicales
Articles

La chirurgie de l’hallux valgus

La pathologie de l’hallux valgus est fréquemment rencontrée en médecine générale et en chirurgie du pied, avec différents degrés d’inconfort engendrés chez le patient. Les techniques chirurgicales actuelles, couplées aux moyens d’analgésie dont nous disposons, permettent, à l’heure actuelle, de corriger cette déformation et soulager les symptômes associés, avec une gestion plus optimale de la douleur.


La pathologie de l’hallux valgus est une déformation évolutive (congénitale ou acquise) de l’axe du premier métatarsien et de la première phalange qui génère une saillie osseuse sur la face interne du pied. Un conflit de chaussage en découle provoquant avec le temps une inflammation et des douleurs. La première phalange étant déviée vers les orteils latéraux, elle peut entrer en conflit avec ces derniers.



En raison de sa déformation, le premier orteil perd progressivement ses fonctions d’absorption des charges lors de l’appui et de propulsion lors du passage du pas. Cela se répercute sur les orteils latéraux qui sont, par conséquent, plus sollicités. Des douleurs d’hyper-appui sous les têtes des métatarsiennes (métatarsalgies) peuvent apparaître, avec formation de durillons plantaires, ainsi que des déformations en griffe des orteils. Ces derniers peuvent donc aussi créer des conflits entre eux, et dans la chaussure avec formation de durillons, souvent douloureux.

  • Les griffes

 

  • Les métatarsalgies

Quelques traitements non chirurgicaux peuvent soulager les symptômes, mais ne corrigeront pas la déformation : chaussage plus large, meilleures répartitions des appuis plantaires par le port de semelles, orthoplasties interdigitales en silicone.

 
Seule la chirurgie permet de corriger, le plus souvent définitivement, la position de l’orteil. L’importance des corrections à effectuer se calcule sur base d’un bilan radiographique en charge. L’intervention est le plus souvent réalisée sous anesthésie générale couplée à un bloc locorégional. Elle peut aussi être réalisée sous rachianesthésie ou parfois sous bloc seul chez un patient bien sélectionné. En cas de déformation bilatérale, les deux côtés peuvent être opérés en même temps si le patient le souhaite.
 

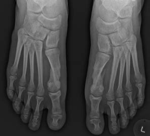
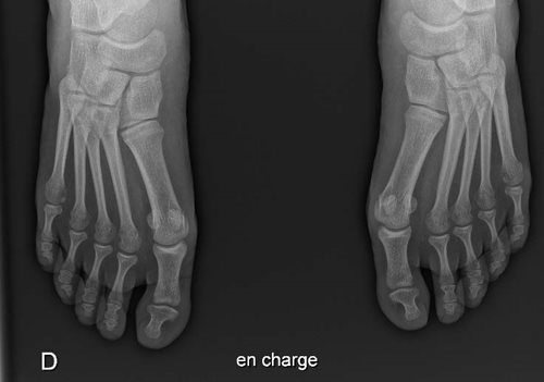
Radiographie pré-opératoire en charge d’un hallux valgus bilatéral


Les subtilités de la technique chirurgicale varient selon les chirurgiens. Néanmoins, tous réalisent une libération latérale des tissus mous et une coupe osseuse (ostéotomie du métatarsien type scarf dans notre institution). Une ostéotomie de la première phalange (type Akin) est parfois nécessaire selon la déformation de celle-ci. Ces gestes permettent de restaurer un valgus physiologique de l’articulation métatarso-phalangienne et de rechausser les sésamoïdes sous le premier métatarsien (figure ci-dessous). Notons qu’en cas d’irréductibilité de la déformation (testée en consultation) ou d’arthrose importante (vue sur le bilan RX), une arthrodèse (fusion) de l’articulation, en position réduite, sera réalisée.


 
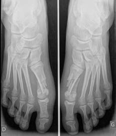
Radiographie à 15 jours puis en charge à 3 mois post-opératoire (scarf autostable bilatéral + Akin P1 droite)


Si le patient présente d’importantes métatarsalgies ou des griffes d’orteils, des gestes complémentaires osseux et/ou tissulaires sont associés.
 
Quelle que soit la technique, un pansement post-opératoire, maintenant bien la position des orteils, est réalisé. Il sera généralement changé en consultation par le chirurgien.
 
L’appui sur le talon (marche sans dérouler le pas) est autorisé dès le réveil, sous couvert d’une chaussure post-opératoire portée environ 6 semaines. L’analgésie post-opératoire immédiate est bien contrôlée par l’anesthésie loco-régionale pratiquée (bloc), avec un relais, dès la levée de celle-ci, par des antalgiques classiques de paliers I et II.
 
Un suivi radioclinique rapproché du patient est effectué jusqu’à la consolidation complète des ostéotomies ainsi que la récupération des amplitudes articulaires et de la fonction de l’hallux (souvent aidée par de la kinésithérapie).
 
Les complications spécifiques les plus connues de cette chirurgie sont la récidive de la déformation en valgus, ou plus rarement la déformation en hallux varus. Celles-ci peuvent être liées respectivement à une insuffisance ou un excès de correction, ou à un manque de respect des consignes de la part du patient. Elle sont corrigeables au travers d’un nouveau geste chirurgical.
 
L’algoneurodystrophie, complication fréquente en chirurgie (surtout des extrémités), l’est malheureusement aussi pour le pied.
 
Un facteur de risque important, en chirurgie du pied, générateur de complications cicatricielles, infectieuses et de retard de consolidation, est la consommation tabagique. Un arrêt de minimum 6 semaines avant et après le geste chirurgical est vivement conseillé au patient.

 
CONCLUSION
La correction chirurgicale d’hallux valgus est fréquemment pratiquée de la Citadelle, par le Dr Sébastien Figiel et moi-même (Dr Maud Piron). La chirurgie bilatérale en un temps est notamment possible. Les techniques d’anesthésie permettent actuellement une très bonne gestion de la douleur post-opératoire.

 
RÉFÉRENCES

  • Leemrijse T, Besse JL, Devos Bevernage B, Valtin B. Pathologie du pied et de la cheville. 2nd ed. Paris : Elsevier Masson 2015
  • Coughlin Michael, Saltzman Charles, Anderson Robert. Mann’s surgery of the foot and ankle. 9th ed. Elsevier Saunders 2014
  • https://www.afcp.com.fr

Nos experts

Photo de Sébastien FIGIEL

Dr Sébastien FIGIEL

Service de Chirurgie orthopédique et traumatologique
Chirurgien orthopédique
Photo de Maud PIRON

Dr Maud PIRON

Service de Chirurgie orthopédique et traumatologique
Chirurgien orthopédique